Implantate? Aber Sicher!

Das Zahn-Implantat – die beste Alternative, wenn ein Zahn fehlt
Warum gesunde Zähne abschleifen, wenn es auch substanzschonender geht? Der Lückenschluss mit einer künstlichen Zahnwurzel aus Titan ist mittlerweile eine bewährte und gut erforschte Standardtherapie.
Entdecken Sie die Vorteile der digitalen 3D-Diagnostik in Kombination der navigierten Chirurgie.
Computergestützte Behandlungsmethoden wie CEREC und Moderner Bildgebungsverfahren (CT und DVT) hat die Welt der Zahnmedizin revolutioniert. Eine der spannendsten Entwicklungen ist die 3D-geplante, navigierte Zahn-Implantat-Behandlung. Diese innovative Methode bietet zahlreiche Vorteile für Patienten und Zahnärzte gleichermaßen.
Präzision und Genauigkeit:
Die 3D-Planung ermöglicht es uns, Implantate mit unübertroffener Präzision zu platzieren. Mithilfe von hochauflösenden 3D-Bildern kann die genaue Position der Implantate im Voraus festgelegt werden, was zu minimalen Eingriffen und schnellerer Heilung führt.
Schnellere Behandlung:
Dank der präzisen Planung und Navigation können wir die Implantate in kürzerer Zeit platzieren. Das bedeutet weniger Zeit im Behandlungsstuhl und schnellere Ergebnisse für die Patienten.
Minimale Invasivität:
Die schablonengeführte Implantatbehandlung minimiert das Risiko von Gewebetrauma und Schäden an umliegenden Zähnen. Dies führt zu weniger Schmerzen und einer schnelleren Genesung nach dem Eingriff.
Optimale Ästhetik:
Durch die präzise Positionierung der Implantate können wir sicherstellen, dass die neuen Zähne sowohl funktional als auch ästhetisch perfekt in das Lächeln des Patienten passen.
Kürzere Heilungszeit:
Die reduzierte Invasivität und die genaue Planung tragen dazu bei, dass die Heilungszeit nach der Behandlung deutlich verkürzt wird. Patienten können schneller wieder ihren gewohnten Aktivitäten nachgehen.
Langfristiger Erfolg:
3D-geplante Implantate bieten eine höhere Erfolgsrate und eine langfristige Lösung für Zahnverlust. Die präzise Positionierung minimiert das Risiko von Komplikationen.
Die 3D-geplante, navigierte Zahn-Implantat-Behandlung ist zweifellos eine der fortschrittlichsten und patienten-freundlichsten Therapie in der Zahnmedizin. Wenn Sie nach einer sicheren, schnellen und ästhetisch ansprechenden Lösung für Zahnverlust suchen, könnte diese innovative Technologie die Antwort sein. Vereinbaren Sie noch heute einen Beratungstermin.
„Backward Planning”
Ein 3D-Scan der Lücke mit dem Primescan und die virtuelle Planung des neuen Zahnes mit der CEREC-Software
3D-Röntgen (DVT)
Import der CEREC-Planung in das 3D-Röntgenbild und Planung der exakten Implantatposition
Herstellung der Bohrschablone
Durch die Schablone wird punktgenau der Knochen aufbereitet und das Implantat gesetzt.
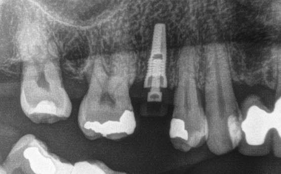
Röntgenkontrolle
Nach der erfolgreichen OP wird die Position des Implantates röntgenologisch überprüft.
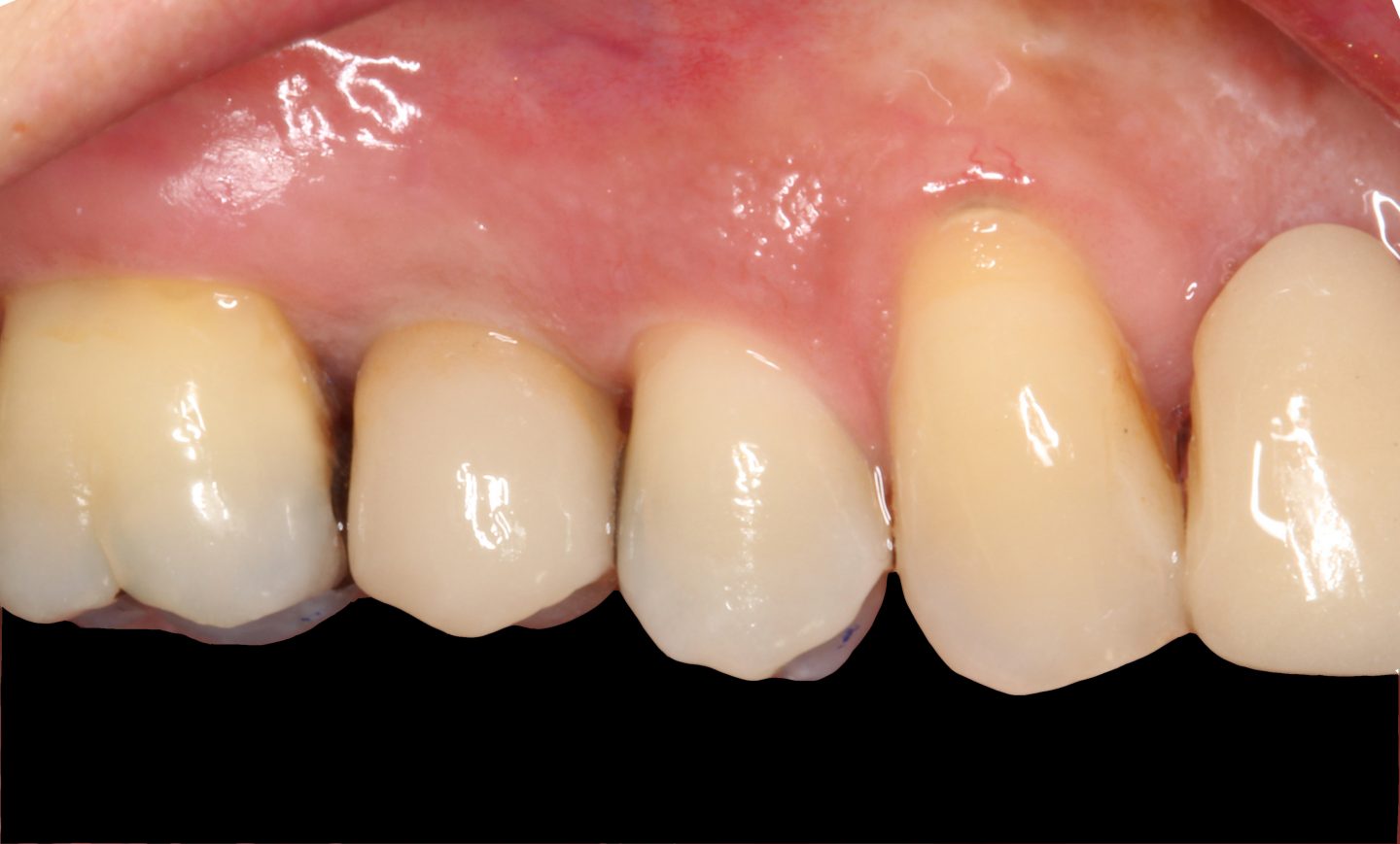
Einschrauben der CEREC-Implantatkrone
Nach einem Scan des Implantataufbaus im Mund wird die neue Implantatkrone gefertigt und eingschraubt.
WIR FREUEN UNS AUF IHREN BESUCH!
So erreichen Sie uns:
Informations- und Anamnesebogen online
Für den Erstbesuch in unserer Praxis können Sie hier bequem online die Gesundheitsfragen ausfüllen und abschicken. So sind wir gut auf Ihr Anliegen vorbereitet und es geht Ihnen keine wertvolle Zeit verloren. Selbstverständlich können Sie auch weiterhin diesen in unserer Praxis in Papierform bekommen.
Sie haben Fragen an unser Rechenzentrum?
Bei Klärungsbedarf rund um Ihre Privatrechnung können Sie ab sofort über diesen Link direkt mit der PVS dental in Kontakt treten.

